AtaGenix Laboratories
Release time: 2025-10-13 View volume: 298
Research Background
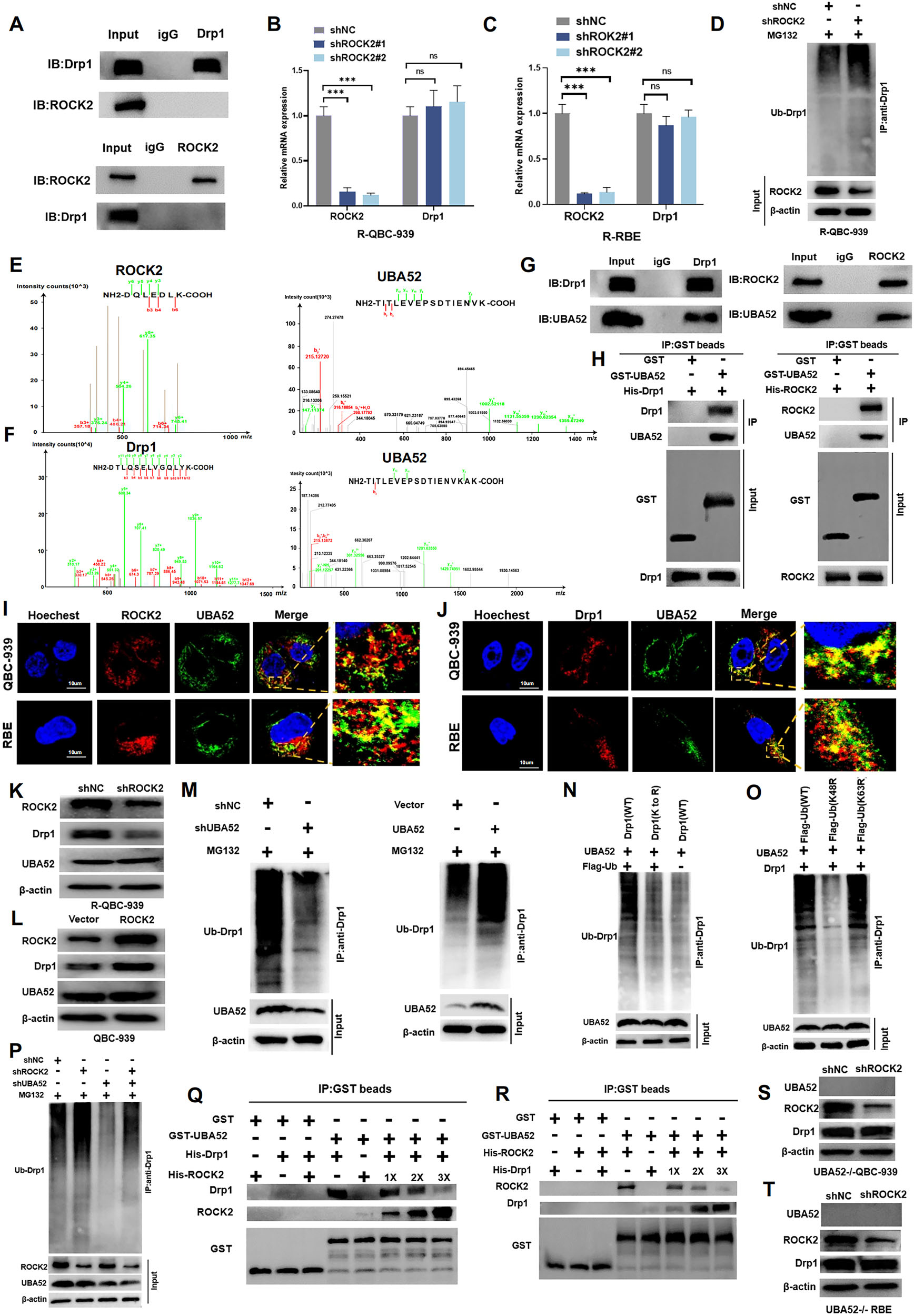
Cholangiocarcinoma (CCA), a highly malignant tumour originating from the biliary epithelium, is characterised by an insidious onset and poor prognosis, with a five-year survival rate below 5%. In 2020, Pemigatinib became the first FDA-approved targeted therapy for CCA; however, clinical resistance frequently occurs, severely affecting therapeutic outcomes. Recent studies have identified Rho-associated coiled-coil containing protein kinase 2 (ROCK2) as a key regulator in chemotherapy resistance across various cancers.
A research team from Jiangxi Cancer Hospital published a study in Cell Death & Disease (DOI: 10.1038/s41419-025-07804-9) revealing the mechanism by which ROCK2 contributes to Pemigatinib resistance in CCA cells, potentially through the regulation of ferroptosis and associated proteins DRP1 and UBA52.

Client Requirements
The research team required high-purity GST, GST-UBA52, His-ROCK2, and His-Drp1 proteins for GST pull-down assays to verify interactions among ROCK2, UBA52, and DRP1. AtaGenix was commissioned to provide customized protein expression and purification services, ensuring the proteins were suitable for interaction validation and subsequent functional assays.
Technical Challenges
Custom Protein Solution
Based on the client’s requirements and provided sequences, AtaGenix delivered high-purity, low-endotoxin, correctly folded, and bioactive GST, GST-UBA52, His-ROCK2, and His-Drp1 proteins. These proteins played a pivotal role in Co-IP and Western blot analyses, helping elucidate that ROCK2 stabilizes Drp1 by competitively binding UBA52. This finding supports the central role of the ROCK2/UBA52/Drp1 axis in CCA drug resistance mechanisms.

About Us
AtaGenix specializes in providing comprehensive custom services, from protein and antibody development to functional validation. We are committed to empowering groundbreaking scientific research with high-quality reagents and expert technical support. For more information, please visit: http://www.atagenix.com.
Contact Us
+86-27-87001869
info@atagenix.com
Building C, R & D Building, No. 666, Shendun 4th Road, Donghu New Technology Development Zone, Wuhan

